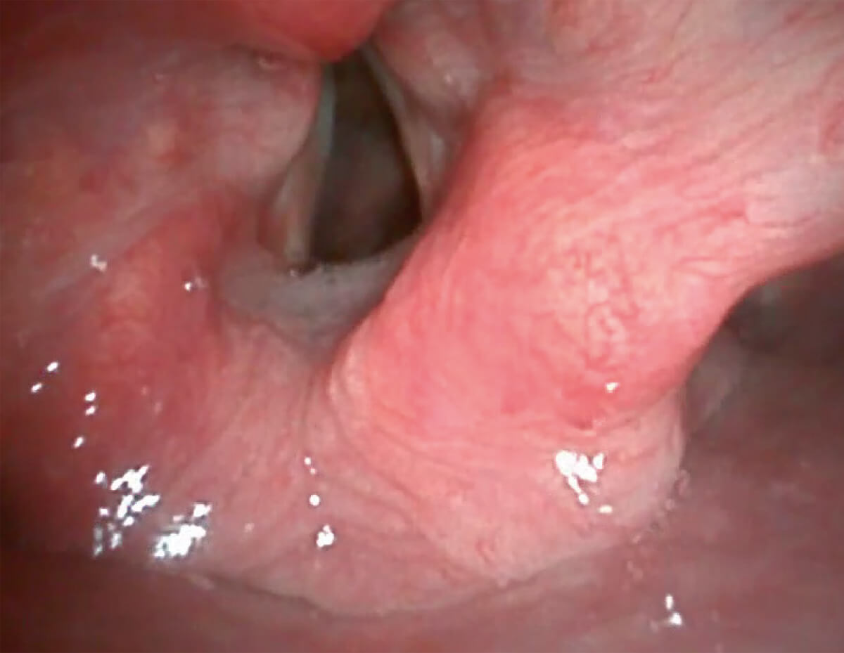
电子鼻咽喉内窥镜
广告
能有效帮助医生更加清晰地观察鼻腔和咽喉病灶。
与HD-500医用内窥镜图像处理器配合使用,实现复合光电染色成像技术(VIST)突显黏膜微结构和微血管变化,更好观察,发现病灶。
拥有2.0mm的钳道,能进行活检、息肉钳除和异物取出等治疗。
符合人体工程学的设计带来出色的操作手感,便捷的按键大大提升操作性能。
禁忌内容或者注意事项详见说明书
检测到您使用的是低版本的IE或IE内核的浏览器,为了更好的浏览网站,请升级您的浏览器,推荐使用IE10及以上版本。
深圳开立生物医疗科技股份有限公司(股票代码:300633)是一家全球领先的科技公司,致力于医疗设备的自主研发和制造,涵盖超声医学影像、内镜诊疗、微创外科和心血管介入等领域,为全世界170多个国家和地区的医疗机构提供专业专科化的整体解决方案。开立医疗志在成为守护全球健康的科技力量,为生命创造更多可能。
微信公众号
0755-26722890
400-678-8019
版权所有 @深圳开立生物医疗科技股份有限公司 访问统计
互联网药品信息服务资格证书[(粤)-非经营性-2023-0479]