极光影像 即刻呈现

P20 Plus

彩色多普勒超声诊断系统

开立医疗通过不断的技术创新,为大众的生命健康提供持续关爱。P20 Plus是开立医疗匠心打造的一款综合应用型彩超。她继承开立医疗高端极光平台,突破性的将多款新型芯片及硬件模块进行整合,均衡了高端系统性能与小巧灵动机身。极大提升便利性、可靠性和图像性能,实现流畅、友好的用户诊断。P20 PIus可用于腹部、妇科、产科、心脏、血管、小器官、泌尿、肌肉骨骼的检查诊断,也可用于体检、床旁筛查。

广告

极致影像

  • 先进探头技术

    新一代单晶体探头极大提升图像信噪比,通过提高晶体取向的均匀性和提高声能传输效率,获得令人惊叹的图像,并为近场和远场提供卓越的灵敏度和分辨率。单晶凸阵探头C1-5可用于腹部和产科的筛查,单晶相控阵探头S1-5可用于心脏和经颅的检查。 新型复合材料线阵探头通过对传统压电材料进行改良升级,实现更宽的频带和更低的声阻抗,可以很好地用于血管、甲状腺、乳腺、肌肉骨骼等组织和器官的检查。12L-A、12L-B、9L-A等线阵探头覆盖超宽频带,使得您的检查无盲区。

  • μ-Scan+新一代微米成像技术

    新一代微米成像技术大大提高了器官和病变的可见性。高清对比度分辨率将抑制斑点噪声,同时保持真实的组织结构。

  • SR Flow 高分辨率血流成像技术

    高分辨率血流成像技术提高了对低速血流信号的检测能力。在提高空间分辨率的同时,也克服了血流外溢现象,为用户提供更加真实的血流动力学信息。

全面临床应用

超声检查得益于实时性、经济性、便捷性,目前广泛的应用于临床工作中,超声检查设备已成为帮助临床医生更轻松地完成诊断工作的好伙伴。P20 Plus集成了一整套包含了腹部、心血管、小器官、妇产科等全面临床应用功能,轻松应对各种疑难杂症。

  • 小器官应用

  • 腹部应用

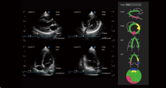
  • 心血管应用

  • 妇产科应用

  • 负荷超声心动图

    支持运动和药物负荷协议、多心动周期存储选择,为临床观察心肌负荷状态下的室壁节段运动、评估心肌缺血状态提供更多的解决方案。

  • 心肌定量分析 MQA

    通过心肌识别技术和二维斑点追踪技术相结合,计算心肌各节段的应变、应变率、速度、位移并以曲线图显示,实现整体或者局部心肌定量分析。同时牛眼图可更直观和准确诊断心肌的运动情况。

  • 血管内中膜自动测量 Auto IMT

    血管内中膜的厚度值是预测心血管疾病风险的重要指标,Auto IMT可以实现血管近场和远场内中膜厚度的自动测量,为临床提供快捷有效的诊断工具。

  • 弹性成像

    弹性成像支持多把探头,满足更多的临床应用。无需高频度外力作用可真实反映组织的形变,具有良好的重复性,更早地洞察潜在的病理学特征。

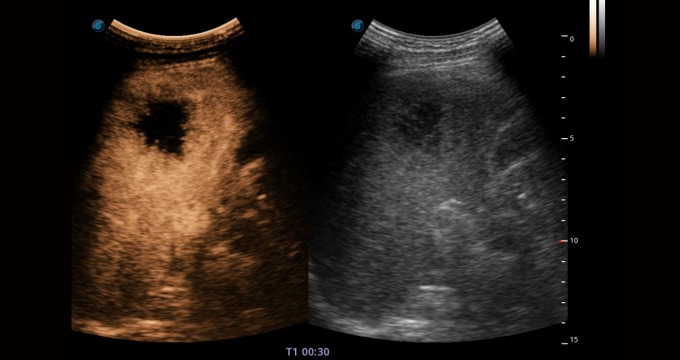
  • 造影成像

    造影成像功能和定量分析工具包使医生能够更好的评估血流灌注情况。独特的动态声压控制技术可有效控制造影剂的声压,保证更长的造影剂持续时间,更好的观察病变灌注的延迟相位。

  • 光影成像

    三维光影成像技术采用创新性的渲染方式,增强边缘信息,使得轮廓显示更加完整,为临床提供丰富、直观的三维结构,提高临床诊断准确性。

友好人机设计

  • P20 Plus可选配23.8英寸高分辨率显示器,提供出色的对比分辨率,图像清晰更清晰,方便医生诊断观察。

  • 高灵敏度触摸屏可进行角度调整,以适应用户在不同环境中的观看。

  • 4个激活+1个挂口满足临床更广泛的应用需求。

  • 可内置大容量锂电池,方便运输,满足更长时间扫描需求。

  • 耦合剂加热器可将耦合剂维持在舒适的温度,体现患者关爱。

临床图

禁忌内容或者注意事项详见说明书